题干:
(2024·丽水高一期末)2024年4月3日,我国台湾省花莲县海域发生7.3级地震,震源深度12 km。图1为“震源附近龟山岛的位置示意图”,龟山岛的岩石主要是疏松多孔的安山岩。图2为“地球部分圈层示意图”。完成1~2题。

此次地震的震源位于地球内部圈层的( )
a、b层,即岩石圈
a层,即硅铝层
b、c层,即下地幔
d层,即软流层
本次地震震源深度是12 km,位于地壳内或岩石圈内。图2中的a是莫霍面以上的地壳,b是软流层以上的地幔,c层是软流层。ab二者合称岩石圈,故选A。
龟山岛的安山岩属于( )
安山岩是喷出岩(岩浆岩的一种)。图2中的Ⅰ是喷出岩,Ⅱ是侵入岩,Ⅲ是变质岩,Ⅳ是沉积岩。故选A。
题干:
(2024·宁波九校高一期末)辽河口的潮间带,一条条潮沟犹如生长在海滩上的参天大树,其主干朝向大海,枝杈朝向陆地。潮沟穿梭在大面积红色碱蓬中,如同一片红色森林。完成3~4题。

影响该地貌形成的主要外力是( )
图示地貌是海滩潮沟。海岸的潮间带有潮汐作用,涨潮时搬运沉积泥沙,退潮时冲刷海滩,形成潮沟(图中的暗色树枝状部分)。故选B。
观察该地貌“森林形态”最适宜的视角是( )
潮沟分布地带地形坡度小,站在高空观察潮沟是最佳视角,A正确。
题干:
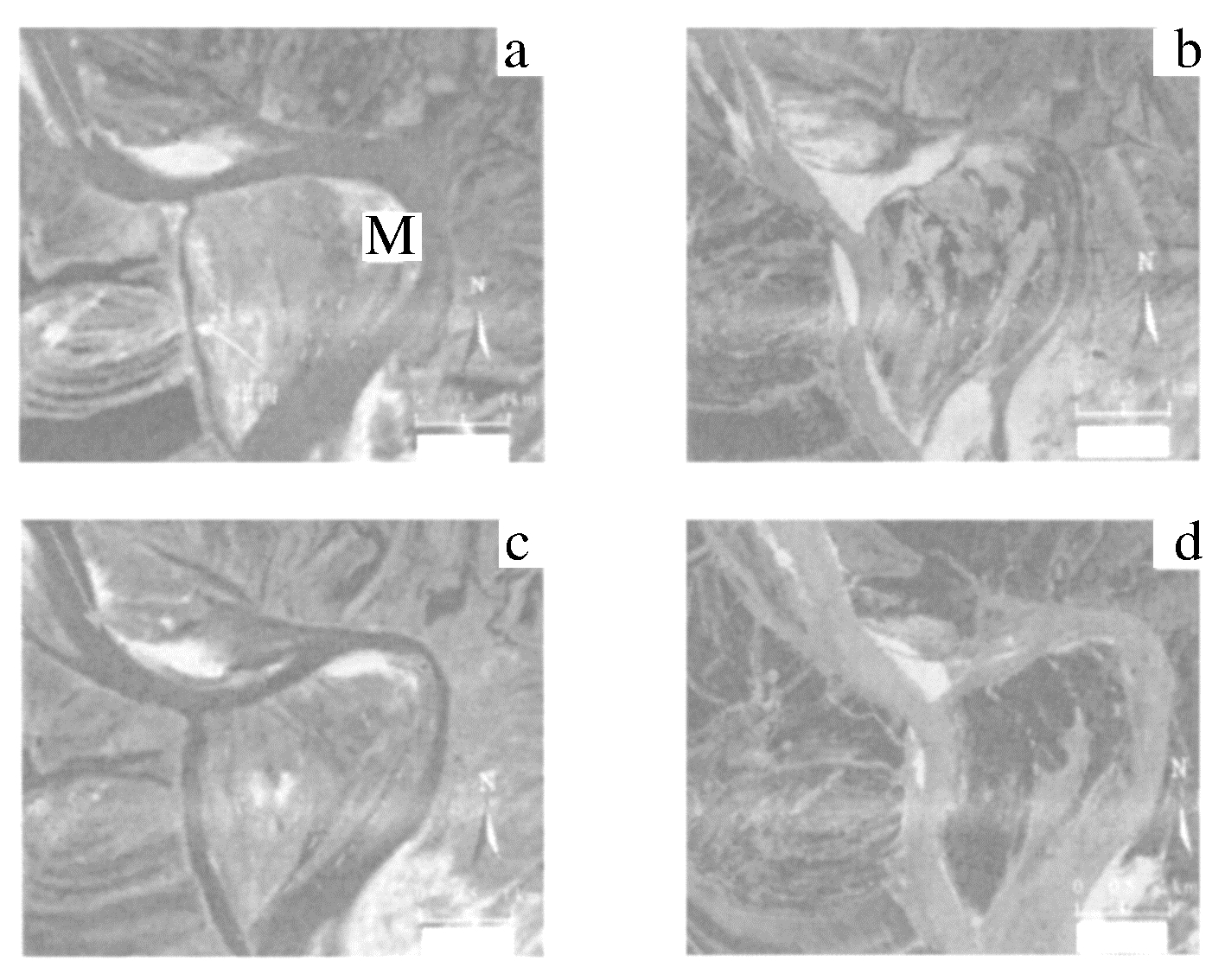
(2023·金华十校高一期末)读1994—2017年松花江某河段不同年份的河流形态卫星图,完成5~6题。

松花江该河段发育过程排序正确的是( )
图示地区河道弯曲,是松花江平原地区的河段,出现了河道裁弯取直现象。仔细对照四幅图像,a图和c图刚刚出现裁弯取直,其中a图新河道很窄,出现时间最早。d图和b图是裁弯取直后期,其中b图中的原河道基本废弃,时间最新(最后)。综上分析,正确顺序是a-c-d-b,故选C。
形成M岸的主要外力作用是( )
图示地区地形平坦,河道弯曲,M岸是河流凸岸,是河流泥沙堆积形成的,D正确。
题干:
(2022·杭州重点中学高一期中)位于甘肃省碌曲县的则岔石林是由内、外力共同作用形成的沉积岩景观,是我国少有的集森林、草原、石林为一体的综合性旅游区。图1为“甘肃省简图”,图2为“则岔石林景观图”。据此完成7~8题。

形成则岔石林的主要外力作用是( )
则岔石林位于祁连山脉东南段,是夏季东南季风的迎风坡,降水量较大,是流水侵蚀作用形成的,B正确。
下列地貌景观与则岔石林成因相似的是( )
天坑地貌是流水侵蚀(溶蚀)作用形成的,与则岔石林成因最相似,C正确。
题干:
(2023·杭州学军中学学考模拟)如图为“我国四个不同地区地貌的景观图”。完成9~10题。

图中地貌景观中,属于风蚀地貌的是( )
观察图片,①为新月形沙丘,属于风积地貌,A错误;②是冰川地貌,B错误;③为雅丹地貌,是干旱地区的一种风蚀地貌,C正确;④为喀斯特地貌,是流水的溶蚀地貌,D错误;故选C。
图③地区经济发展需要注意的是( )
根据上题,③为雅丹地貌,是干旱地区的风蚀地貌。该地区气候干旱,不适宜发展种植业,A错误;该地区主要的环境问题是风沙大,不是水土流失,治理风沙的主要措施有草方格、石方格等,B错误、D正确;该地区发展旅游业的关键是发展交通和基础设施,而不是扶持餐饮业,C错误;故选D。
题干:
壶穴主要是由水流挟带砾石或粗堆积物研磨基岩河床形成的凹坑,壶穴易在强急流或瀑布前方形成。如图示意某喀斯特地貌区壶穴的形成过程。据此完成11~12题。


图中a时期壶穴形成地的特点是( )
读图中a时期可知,近地表岩层产生节理、裂隙,是a时期壶穴形成地的特点,选D。其他选项缺少相关信息,无法判断。
喀斯特地貌区有利于壶穴形成的自身条件是( )
喀斯特地貌区岩石的可溶性强,抗蚀力弱,岩石容易被溶蚀,有利于壶穴形成,选C。
题干:
巴姆七湖地处横断山区山谷地带,是我国有名的串珠湖(多个盆地积水成湖,形似串珠),岩层多断裂发育。一年中,一湖和三湖只有最冷月才会有一半湖面结冰,其他湖泊均有近5个月的封冻期。图1示意巴姆七湖景观,图2为“巴姆七湖纵剖面示意图”。据此完成13~14题。

巴姆七湖的成因最可能是( )
火山口积水
风蚀洼地积水
读图可知,该湖泊群海拔在4 000米以上,气温低,受冰川作用影响大。在山谷内的冰川侵蚀形成低洼地,积水成湖;冰川挟带冰碛物堆积,在堆积物合围地区,集水成湖。故选A。
一湖和三湖结冰时间短且仅有一半湖面结冰,最主要原因可能是( )
地下水水温较稳定。该湖泊所在地区有大量岩层裂隙,一湖和三湖因接受地下水补给,冬季两湖水温稍高于其他湖泊,不易结冰;地下水入湖部位和水量不同,导致湖泊仅有一半结冰。故选D。
题干:
(2023·环大罗山高一期末)如图中的等高线图(单位:m)为新月形沙丘。读图,完成15~16题。

有关该地貌的说法,正确的是( )
①迎风坡坡度陡 ②背风坡坡度陡 ③由风力沉积作用形成 ④由风力侵蚀作用形成
新月形沙丘是风力沉积作用形成的,迎风坡一侧坡度缓,背风坡一侧坡度陡,B正确。
图示地貌区盛行风向为( )
根据图中指向标,沙丘迎风坡一侧朝向西北,说明盛行风向是西北风,B正确。
题干:
如图是“地中海沿岸某河流中游河谷剖面图”。据此完成17~18题。

图中河谷阶地的成因是( )
图中河谷阶地的成因是河流的侧蚀与堆积作用,侧蚀河谷使得河谷变宽,泥沙堆积在河床两侧形成河漫滩,C正确。
图中甲、乙、丙、丁四地中,最适宜布局居民点的是( )
图中丁地的地形平坦开阔,地势较高,不受洪水危害,D正确。甲地地域面积比丁小且距河较远,不选A。乙地、丙地洪水时被淹没,不适宜。综上所述,故选D。
题干:
(2024·七彩联盟暑期返校)祁连山多断层,山麓地带冲积扇面积较大。黑河发源于祁连山中段,向北流入河西走廊。如图示意黑河冲积扇地质剖面。完成19~20题。

冲积扇盐碱化程度最高的地区及其主要自然原因是( )
冲积扇的扇缘处地势低平,地下水埋藏较浅;当地深居内陆,气候干旱,蒸发旺盛,盐分容易蒸发积累,因此地表盐碱化严重,故选C。
黑河下游的平缓冲积扇(绿洲)形成原因是( )
由所学知识可知,冲积扇(绿洲)为流水沉积地貌。由材料可知,祁连山多断层,冲积扇区域断陷下沉,坡度降低,地势相对平坦,河流流速减慢,流水自上游搬运的泥沙堆积,形成冲积扇,故选C。
题干:
(2023·宁波九校高一期末)“鬼手岩”拥有古生代时期的古老岩石,好似从海水中伸出来的“手臂”,被誉为香港世界地质公园的著名地标。据此完成21~22题。

“鬼手岩”形成的主要外力作用是( )
图示景观是古老岩石经过漫长外力风化作用形成的破碎状态,底部岩石经过海水侵蚀作用,变得较细,A、D正确。
在古老岩石形成时期,地球演化史的特点是( )
古生代末期,蕨类植物繁盛,成为地质历史上的重要成煤期,A正确。早古生代出现两栖动物,逐渐适应陆地环境,B正确。现代地貌格局基本形成于新生代,C错误。裸子植物繁盛于中生代,D错误。
题干:
(2023·环大罗山高一期末)如图是新疆准噶尔盆地著名的乌尔禾魔鬼城景观。据此完成23~24题。

与该景观形成过程类似的地貌是( )
该景观是雅丹地貌,是风力侵蚀作用形成的。戈壁滩是风力搬运侵蚀小颗粒物后,残留的较大岩石,风蚀蘑菇也是风力侵蚀形成,B、D正确。丹霞地貌和黄土沟壑都是流水侵蚀形成的。
与该景观的形成关系密切的当地自然特征是( )
山高谷深,水流湍急、落差大
该地貌分布区位于内陆、气候干旱,风力强劲;晴天多、光照充足,昼夜温差大,气温年较差大,C、D正确。
某沙地位于我国一著名草原,20世纪80年代,该地区出现众多风蚀坑。坑边发育有植被覆盖的沙丘,研究发现该地区风蚀坑规模扩大、沙丘高度不断增加。目前,该地区调整产业结构,大力发展旅游业。如图示意某风蚀坑及坑边沙丘等高线分布。读图,完成第25题。

该地的盛行风向及其推测依据是( )
观察图中等高线形态,结合风蚀坑的形态特点可知,风蚀坑分布在沙丘的西侧。迎风坡一侧,等高线密集,此处的风力侵蚀作用强,可推测该地盛行偏西风,B、C正确。
(2024·绍兴上学期高一期末)阅读材料,完成下列问题。(23分)
材料一 2023年暑假,浙江某中学组织学生去新疆开展南疆自然地理考察的研学活动,研学线路从阿克苏市沿着沙漠公路穿越塔克拉玛干沙漠到达和田市。
材料二 图1为“新疆区域略图”。图2为研学途中无人机拍摄的景观照片。

(1)从水循环发生的空间范围看,塔里木河及其支流直接参与了________(填水循环类型),塔里木河甲至乙河段随着________和________增加(填水循环的环节),水量逐渐________(填“增加”或“减少”)。(8分)
(2)穿越塔克拉玛干沙漠的公路,需要经过400多千米的流沙区,在公路两侧植树种草来________地面的粗糙度(填“增加”或“减少”),以________风速(填“增加”或“降低”),削弱风沙的破坏作用。防治风沙灾害可采取的工程措施有________、________、________。(10分)
(3)图2景观照片中的地貌为________,描述该地貌的形态特点。(5分)
答案: (1)陆地内循环 蒸发 下渗 减少 (2)增加 降低 设置草方格、石方格、高立式沙障,建防护林等(任选三点,其他言之有理可给分) (3)(新月型)沙丘 迎风坡坡形微凸,坡度平缓;背风坡坡形下凹,坡度较陡。
第(1)题,塔里木河深居内陆,远离海洋,主要参与水循环的陆地内循环。随着河流向下游流淌,河水蒸发、下渗,流量逐渐减小。第(2)题,草类可以增加地表粗糙度,降低风速,减少风蚀作用。治沙的工程措施包括设置草方格或石方格沙障、高立式沙障等,建设人工防护林等。第(3)题,照片中的地貌是沙丘地貌,是风力堆积形成的。迎风坡一侧坡度小,微凸;背风坡一侧下凹,两翼展开,总体坡度大。
(2023·金华十校高一期末)阅读材料,完成下列问题。(22分)
材料 疏勒河发源于祁连山脉,出昌马峡谷流入河西走廊内的荒漠平地。图1为“疏勒河地区地貌图”,图2为“三道沟河景观图”,图3为“B处沉积物图”。

(1)图1的地貌为________(流水地貌),主要外力作用是__________________________________________________
________________________________________________________________________。(4分)
(2)与D处比较,B处沉积物颗粒较________,简析其原因。(6分)
(3)疏勒河在流出峡谷之后,在平坦地带冲出许多沟谷(如三道沟河),其原因主要有__________、__________、__________。(6分)
(4)简述疏勒河的流量特征。(6分)
答案: (1)冲积扇(洪积扇) 流水堆积 (2)大 原因:流速变慢,搬运能力减弱,颗粒大的先沉积。 (3)流量季节变化大;地形较平坦;河流含沙量大。 (4)流量较小;流量季节变化大(夏季汛期);流量有昼夜变化(白天大夜晚小)。
第(1)题,观察图示,图中的流水地貌是山麓冲积扇,是流水搬运泥沙在出山口处沉积形成的。第(2)题,出山口的河流流速逐渐变慢,搬运挟带泥沙能力减弱。颗粒物大的先沉积,B处位于冲积扇顶部,颗粒物较大。D处在冲积扇边缘,沉积颗粒物较小。第(3)题,出山口的平坦地带,流速缓慢,由于河流流量季节变化大,汛期挟带泥沙,冲刷和沉积频繁交替,河水不断摆动,流水侵蚀形成冲沟。第(4)题,疏勒河流域深居内陆,降水稀少,以高山冰川融水和山地降水为主。流量季节变化大,夏季流量大,冬季流量小(甚至断流)。昼夜温差大,冰川融化受气温影响,呈现一日一峰的变化特点。